Más de 30 años cuidando sonrisas
En nuestros centros, dirigidos por la Dra Annie Durán combinamos experiencia, innovación y continua formación para ofrecer una odontología cercana y de calidad. Con más de tres décadas de trayectoria, mantenemos la esencia de una clínica familiar que evoluciona sin perder sus valores.
Contamos con un equipo multidisciplinar que abarca todas las áreas dentales dentro de un mismo espacio, permitiéndonos ofrecer diagnósticos completos y tratamientos integrales adaptados a cada paciente.
Priorizamos tu bienestar , comodidad y confianza en cada visita.
Nuestros servicios y tratamientos dentales

Implantes Dentales
Recupera la funcionalidad y la estética de tu sonrisa con implantes dentales seguros y duraderos, planificados con tecnología digital para mayor precisión y comodidad.

Ortodoncia
Corrige la posición de tus dientes con tratamientos de ortodoncia personalizados, incluyendo opciones estéticas y discretas adaptadas a tu día a día.

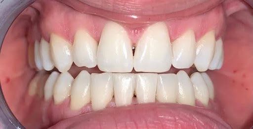
Estética Dental
Mejoramos la apariencia de tu sonrisa con tratamientos estéticos naturales y mínimamente invasivos, cuidando cada detalle para lograr un resultado armónico.

Endodoncia
Tratamiento para eliminar el dolor y salvar el diente natural, evitando la extracción y manteniendo su función.

Apnea del sueño
Tratamiento para la apnea del sueño mejorando la respiración durante el descanso y ayudando a dormir mejor.

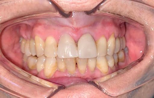
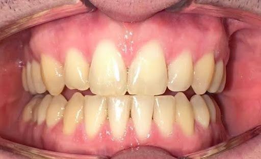
Prótesis Dentales
Soluciones personalizadas para reponer dientes perdidos y recuperar la comodidad al hablar, masticar y sonreír.

¿Por qué Clínica Dental Durán?
Tecnología Avanzada
Trabajamos con tecnología digital y equipos modernos que nos permiten realizar diagnósticos más precisos, tratamientos más cómodos y resultados más predecibles.
Más de 30 años de experiencia
Somos una clínica dental familiar con más de tres décadas de experiencia, ofreciendo tratamientos basados en la confianza, la cercanía y el conocimiento acumulado a lo largo de los años.
Odontología Honesta
Escuchamos a cada paciente y explicamos cada tratamiento con claridad, dedicando el tiempo necesario y recomendando siempre la mejor opción según cada caso, sin prisas ni decisiones innecesarias.
Historias de nuestros pacientes

Llevo toda la vida tratándome en la clínica y no cambio por nada.
Aquí hay un trato familiar y eso no tiene precio.
La recomiendo 100%
Jonathan Gómez

Como siempre, todo fenomenal.
Tengo tanta confianza en esta Clínica que me desplazo desde otra localidad a Coslada por la seguridad de me da.

