En nuestra clínica dental llevamos 30 años cuidando sonrisas y haciendo todo lo posible para que nuestros pacientes se sientan cómodos y seguros al sonreír.
Nuestro objetivo es obtener sonrisas cuidadas , que se vean sanas y bonitas, para ello utilizamos técnicas mínimamente invasivas para evitar desgastar los dientes el máximo posible.
Carillas dentales
Las carillas son finas láminas de porcelana o composite que se colocan sobre la superficie del diente.
Gracias a ellas podemos mejorar la forma, el color y la armonía de la sonrisa, manteniendo un aspecto natural.

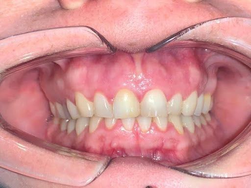
Cambio de carillas incisivos centrales con carillas de porcelana

Restauración de incisivos laterales con carillas de composite
Blanqueamiento Dental
El blanqueamiento dental es un tratamiento seguro y eficaz que ayuda a aclarar varios tonos el color de los dientes, devolviendo luminosidad a la sonrisa.
Utilizamos
productos de alta calidad que garantizan un buen resultado, siempre respetando la salud del esmalte.

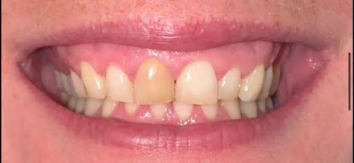
Blanqueamiento de un diente que ha cambiado de color a causa de un traumatismo

Blanqueamiento de un diente que ha cambiado de color a causa de un traumatismo
Pide tu cita y mejora la estética de tu sonrisa de forma natural
Valoraremos tu caso de manera personalizada para ofrecerte un tratamiento estético adaptado a ti.
